
Surgery and crown work for these cases was performed by Dr Jonathan Loughlin.

Dental implants provide a fixed alternative to bridges and dentures when looking at replacing missing teeth. They closely mimic the function and natural appearance of real teeth.

Surgery and crown work for these cases was performed by Dr Jonathan Loughlin.
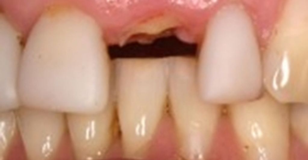
Before picture: broken off front tooth.

After picture: the tooth has been replaced with a dental implant.

Dr Jonathan Loughlin completed this case in 2009. A composite resin is used to build the teeth up resulting in improved function and appearance. The approximate patient spend was

After resin bonding.
To our very valued patients & visitors,
Our Christmas hours this year will be as follows:
Christmas Eve: 8.30am - 12pm (no dentists available)
Christmas Day - CLOSED
Boxing Day - CLOSED
Weekend - CLOSED
Monday 29/12/25 - 8.30am - 2pm (fully booked)
Tuesday 30/12/2025 - 8.30am - 7pm (fully booked)
Wednesday 31/12/2025 - CLOSED
Thursday 1/01/2026 - CLOSED
Friday 2/01/2026 - CLOSED
Weekend - CLOSED
Monday - 5/01/2026 normal hours resume.
Online booking is available 24/7 via our website.
We use cookies to analyze website traffic and optimize your website experience.